
「抜けた歯を放置しても大丈夫?」
「見た目以外で健康に影響がある?」
とご質問をいただくことがよくあります。
患者さん
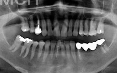
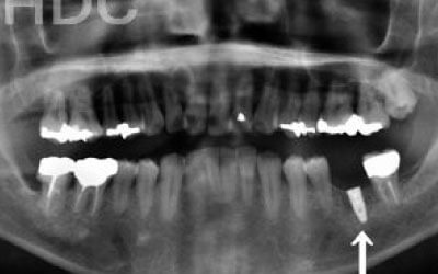
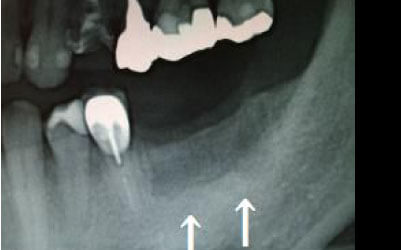
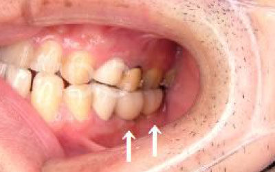
歯が抜けてそのままにしていたら、周囲の歯が動いてしまいました。どうすればいいでしょうか?
Dr.武田
小さなズレであれば調整や詰め物で対応可能ですが、歯が大きく傾いている場合は矯正治療や被せ物が必要になることがあります。ズレが進行する前に、早めに歯科医院での診査・治療を受けることをおすすめします。
患者さん
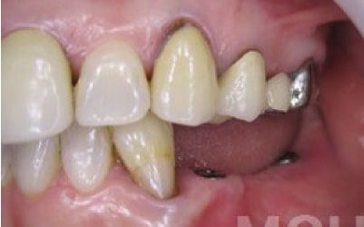
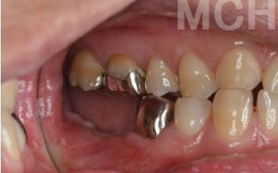
奥にある見えない歯なら、銀歯のブリッジとインプラントに違いはありませんか?
Dr.丸尾
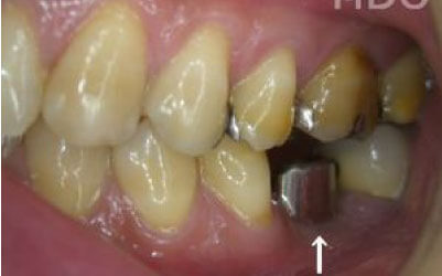
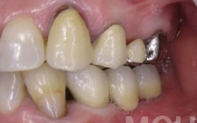
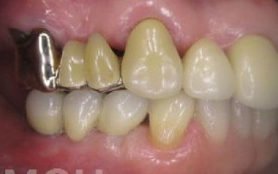
ブリッジとインプラントでは、周囲の歯に与える影響に大きな違いがあります。ブリッジの場合、健康な歯を大きく削る必要があり、さらに通常よりも約1.5倍の咬合力がかかるため、支えとなる歯の寿命が短くなりがちです。実際に、支台歯の約68%が10年以内に抜歯に至るという統計もあります。
歯が抜けた後の治療には、
インプラント・ブリッジ・入れ歯の
3つがあります。
※左右にスクロールしてご覧ください
|
インプラント
|
ブリッジ
|
入れ歯
|
|
|---|---|---|---|
| 歯を削る | 削らない | 削る | 少しだけ削る |
| 周りの歯への 力の負担 |
負担をかけない | 非常に大きい | 大きい |
| 使用感 | 自分の歯に近い感覚 | 銀歯の場合は目立つ | 異物感を感じやすい |


噛むときには、誰でも歯に何十キロもの力が加わっています。
そのため、歯の本数が少なくなると、残っている歯にかかる負担はさらに大きくなります。
ブリッジ治療では、失われた歯の役割を両隣の歯が補うことになるため、その支えの歯には通常の1.5〜2倍ほどの力がかかるとされています。

入れ歯を使用すると、留め具のバネがかかっている歯や、残っている歯に大きな負担がかかります。多くの方は無意識に残った歯で噛むことが多いため、その歯に過剰な力がかかり、折れたりして寿命が短くなることがあります。
一方、インプラントは人工の歯根が顎の骨に直接固定されるため、残っている歯にかかる負担を大幅に軽減できます。

ブリッジ治療では、欠損部分の両側にある歯を大きく削らなければならず、場合によっては虫歯がなくても歯の神経を抜くことがあります。神経を抜いた歯に被せ物をすると、その歯は急速に弱くなり、寿命が短くなるリスクが高まります。
一方でインプラント治療なら、周囲の歯を削ったり神経を抜いたりする必要がないため、健康な歯を守りながら歯の寿命を延ばすことができます。

入れ歯は毎回の食事後に取り外して歯や入れ歯自体を洗浄する必要があり、バネが見えてしまうことを気にされる方もいらっしゃいます。取り外し式のため、天然歯と同じような使い心地には限界があります。
一方、インプラントは固定式で取り外す手間がなく、日常生活のストレスが大幅に軽減されます。見た目も自然で、周囲の人に気づかれにくい場合がほとんどです。
インプラント治療について、
ぜひ知っておいていただきたい点がいくつかあります。
まずインプラントは
健康保険の対象外となる治療です。
また治療を始める前にしっかりとした診査・診断を行うことが非常に重要です。
いくつかの検査結果を総合的に考慮した
治療計画を立てていきます。

安全で長持ちするインプラント治療を実現するためには
適切な検査が欠かせません。
私たちは10年20年先も
健康で快適なお口の状態を維持できるようサポートします。
インプラントを成功させる
5つのPOINT
1
CLINICAL ORAL
IMPLANTOLOGY
メーカーの認定とは異なり、学会が定めた症例数や治療の経過などの
厳しい基準を満たし、さらに試験に合格した歯科医師だけが
認定を受けます。
2
経験の違いは、治療の質の違いです
3

アストラテックやオステムなどのインプラントメーカーから表彰されております。
4

1人の歯科医師の視点でなく、複数のドクターでCTの診断や計画を立てています。
5
当院では感染予防対策を徹底しており、
器具の使いまわしは一切行っておりませんので、どうぞご安心ください。
私たちは、インプラントだけでなく
残っている歯も大切にしています。
インプラント治療の
3つのリスクと対策

通常、インプラントの適正な
年間症例数は100~200件です。
当院はこれを超えないことを
大切にしています。
医療は工業製品の販売とは異なり、歯科医師が一人ひとりの患者様と真摯に向き合うことで成り立ちます。そのため、私たちは対応できる範囲を超えた治療は行いません。
*横にスライド/スワイプしてご覧ください
当院のインプラント治療費は明確に設定されているので
ご安心ください。

治療費で不安が無いように、全ての費用が含まれる明確な治療費(※)となっています。
患者さん
治療費のお支払いは、どのタイミングで行えばいいですか?
Dr.西村
治療開始時に総額の半額をお支払いいただき、残りの半額は治療の後半でお支払いいただきます。
患者さん
一度に全部払うのが難しいときは、どうすればいいですか?
Dr.明石
治療費は2回に分けてお支払いいただけます。また、より多くの回数での分割払いをご希望の場合は、デンタルローンをご利用いただけます。デンタルローンはクレジットカードの分割払いよりも金利が低いため、分割でのお支払いをお考えの方にはおすすめです。
スルガ銀行のデンタルローンが
ご利用いただけます。




「より良い治療を希望したいけど、費用の相談を先生にするのが難しい」と感じる方も、ご安心ください!
クリニックを介さず、銀行と直接ローン契約ができます!
デンタルローンの契約について、クリニックへの相談は必要ありません。
銀行の調査によると、デンタルローンを利用する方の約40% は、ご自身でインターネット検索をして申し込んでいます。当院はローン契約に関与しないため、ローンの検討状況や審査内容、お借入額について情報が当院に伝わることはありません。費用についてご相談いただいた際には、デンタルローンのパンフレットをお渡ししております。
「デンタルローン」なら、
一般的なクレジットカードの
リボ払いや分割払いより低金利だから返済総額や
月々の返済額が抑えられる!
患者さん
医療費控除は使えますか?
Dr.齋藤
医療費控除を利用できるため、実質的には割引のような効果があります。控除の額は所得税率や他の医療費の合計額によって異なりますが、インプラント費用の約30%が医療費控除で還付されるケースが多いです。
詳しい内容については、医療費控除の案内チラシをご覧ください。

インプラント治療では、安全性と安心を最優先し、長くご使用いただけるよう努めています。
万が一トラブルが発生した際には、安心していただけるよう保証制度をご用意しております。
皆様により一層の安心をお届けするための体制です。

※当法人では2種類のインプラントを部位によって使い分けております。
インプラント本体は5年間、100%クリニック負担にて保証。
その後、6年⽬より段階的にクリニック負担割合は減りながら、10年間の保証。
上部構造物は3年間、100%クリニック負担にて保証。


定期的なメンテナンスを受けているにもかかわらずインプラントにトラブルが生じた場合、使用期間に応じて修理や再作成の費用を当院が負担いたします。引き続きメンテナンスを続けていただくことで、長く快適にご使用いただけます。

インプラントだけの安いインプラント
専門の医院で受診する場合には
注意してほしいことが3つあります。
医院選びのポイント01
医院選びのポイント02
医院選びのポイント03



Dr.丸尾
激しい運動や飲酒は、治療後3日程度は控えてください。
お風呂は1~2日はシャワーにとどめてください。
それ以外の日常生活には特に支障はありません。

Dr.中山
基本的には、成人であればほとんどの方が治療を受けることができます。
ただし、重い全身疾患がある場合などは、担当医に相談することをお勧めします。

Dr.脇
奥歯が1~2本の場合、身体を大きく使う仕事でなければ、翌日の仕事には支障ありません。
手術当日でも、デスクワークの方はそのまま仕事をされている方が多いです。

Dr.飯田
麻酔を施すので、全く痛みは感じませんのでご安心ください。

Dr.中島
天然の歯と同じように、3ヶ月に1回のメンテナンスが推奨されています。
定期的なメンテナンスで、インプラントと現存する歯を長く健康に保ちましょう。

Dr.西村
歯科の統計データをお伝えします。インプラントは、10年後に90~95%の確率で残ります。
対して、ブリッジは10年後に30~35%の確率で残っていると言われています。
ブリッジが失敗する場合、ほとんどが支えとなっている歯がダメになり、その結果抜歯が必要になることが多いです。

Dr.丸尾
状態によりますが、治療期間はおおよそ2~3ヶ月程度です。
ただし、毎週通院する必要はありません。
インプラント治療前に骨を増やす治療が必要な場合は、さらに3ヶ月ほど追加でかかることがあります。

Dr.中山
CTでは、骨や歯の状態を三次元で確認でき、正確な距離を測定することができます。
骨の厚さや傾き、神経の位置などを事前に詳しく計測することで、安全にインプラントを行うことができます。

Dr.脇
医療費控除を活用することができるため、実質的に割引を受けるような形になります。
所得税率や医療費の総額によって異なりますが、インプラント費用の20~30%程度が医療費控除で還付されることがあります。
※詳しくは医療費控除の詳細チラシをご覧下さい。

Dr.飯田
治療費は2回に分けてお支払いが可能です。
さらに、より多くの回数で分割払いを希望される方には、デンタルローンという選択肢もあります。
デンタルローンはクレジットカードの分割よりも金利が低いため、分割払いを選ぶ場合、デンタルローンの方がよりお得です。
詳細については、デンタルローンの銀行サイトをご確認ください。
https://www.surugabank.co.jp/reserved/landing/dentalplus/

Dr.中島
治療開始時に総額の半分をお支払い頂き、残りの半分は治療の後半でお支払いとなります。

Dr.西村
歯周病の進行具合にもよりますが、インプラント治療は可能です。
ただし、まず歯周病の検査を行い、その後きちんと歯周病治療をすることが重要です。
また、噛み合わせのバランスを整えることや、治療後も定期的にメンテナンスを行い、インプラントを長持ちさせるための取り組みが大切です。

Dr.中山
大きく3つポイントがあります。
1 料金の落とし穴
「ホームページで安いインプラント料金を掲載していても、実際に受診すると「○○さんの状態ではこのインプラントは適用できません」と言われ、高額な治療を勧められることがあります。
そのため、インプラント専門医院を選ぶ際は、かかりつけの歯科医院からの紹介を受けることをお勧めします。
2 メンテナンスに通えるか?
「インプラントは単に入れるだけで終わりではなく、その後どれだけ長持ちするかが重要です。
そこで大切なのが、定期的なメンテナンスです。
しかし、インプラント専門医院だと、インプラントのメンテナンスだけを受けるためにその医院に通い続ける必要があり、治療後も時間や労力がかかります。
もしメンテナンスを怠ると、保証がなくなってしまうこともあるので、治療後にメンテナンスに通いやすいかどうかが重要なポイントとなります。
3 責任が曖昧で保証してくれないことも
インプラント専門医院では、メンテナンスを行っていない場合があり、地元のかかりつけ医でのメンテナンスを推奨されることもあります。
トラブルがなければ問題ないですが、歯周病や噛み合わせの影響でインプラントが不具合を起こすこともあり、その場合、責任の所在が不明確になることがあります。
そのため、インプラントの保証が受けられないこともあるので、注意が必要です。
お口の健康にはさまざまな要因が絡んでいます。
そのため、通常の治療やメンテナンスも行っている医院で治療を受けるか、インプラント専門医院を選ぶ際には、かかりつけ医からの紹介を受ける方が安心です。
お体のことですし、工業製品のように「不具合が出たから新しいものに交換する」といった簡単な対応はできません。
ですので、将来を見据えて慎重に決断することが非常に重要です。

Dr.丸尾
基本的には、虫歯や歯周病の治療も行っている医院が適しています。
理由として、インプラント治療は単に失った歯を入れるだけでなく、残っている歯の歯周病や噛み合わせの問題も考慮した治療計画が必要だからです。
そのため、虫歯や歯周病、噛み合わせ、メンテナンスなどを総合的に診てくれるかかりつけの歯科医院で治療を受けることをお勧めします。
もしかかりつけの医院でインプラント治療を行っていない場合は、紹介されたインプラント専門の医院で治療を受けると良いでしょう。

Dr.西村
「お口の状態や噛み合わせによって異なるため一概には言えませんが、一般的には奥歯が適しています。
特に、一番奥の歯とその隣の二番目の奥歯が重要です。
噛み合わせの力の60%以上がこの2本の奥歯で支えられているため、ここをしっかりとインプラントで治療するのが理想的です。

Dr.丸尾
残っている歯にとって、ブリッジ治療は非常にリスクが高い方法です。
その理由は、ブリッジを作るために隣接する歯を大きく削らなければならないからです。
場合によっては、その歯の神経を取ることもあります。それだけ歯に負担をかけるため、歯の寿命が急激に縮んでしまいます。
もし数年後にインプラントを考えているのであれば、ブリッジ治療を行う前にインプラントを選んだ方が、断然良い結果が得られます。

Dr.西村
骨が薄い場合、そのままインプラントを行うのはお勧めできません。
ただし、事前に骨を増やす治療を行ったり、インプラントと同時に骨を増やす治療をすることで、インプラントは可能です。

Dr.丸尾
インプラント治療でのリスクは3つあります。
1 インプラントと骨が結合しないリスク
工業製品とは異なり、人間の体はさまざまな反応を示します。
そのため、約100人に1人の割合でトラブルが起こることがあります。
しかしそうした場合でも、使用するインプラントのメーカーを変更することで、ほとんどの場合問題なく結合しますのでご安心ください。
2 神経を傷つけるリスク
インプラントの手術では、顎の骨を通る神経を傷つけるリスクがあります。
しかし、事前にCTでしっかりと撮影し、三次元的に神経との距離を計測して治療計画を立てることで、心配は不要です。
また、当院では削りすぎを防ぐためのストッパーも使用しています。
3 歯周病でインプラントが抜けるリスク
細菌(歯垢)の影響で、インプラントを支える歯ぐきや骨が後退することがあります。
つまり、インプラント治療だけでなく、残っている歯の歯周病の検査や治療も非常に重要です。

Dr.西村
インプラントの利点は、入れ歯のように取り外す必要がなく、ご自身の歯のように自然に噛める点です。
そして最大の利点は、周囲の歯の寿命を短くしないことです。
ブリッジや入れ歯では、他の歯に負担がかかり、歯が連鎖的に抜けていくことがあります。
しかし、インプラントは周囲の歯に一切負担をかけないため、残った歯にとって最も優しい治療法です。

Dr.丸尾
最も大きな違いは、前後の歯の寿命に影響が出ることです。
ブリッジの場合、抜けた歯の前後にある歯を、重度の虫歯と同じくらいまで削る必要があります。
また、抜けた歯の代わりに前後の歯が力を支えるため、その歯に常に1.5倍の負荷がかかります。
1)ブリッジ
2)歯を大きく削る+支えの歯に1.5倍の力がかかる
3)前後の歯の寿命が著しく減る
ブリッジの支えの歯は、データでは10年以内に68%が抜歯になります。

Dr.西村
少しの位置ズレであれば、噛み合わせの調整や小さな詰め物で対応できます。
しかし、抜けてから数年経って歯が大きく傾いてしまった場合は、歯並びの矯正を行うか、歯を大きく削ってかぶせ物をする必要があります。

Dr.中島
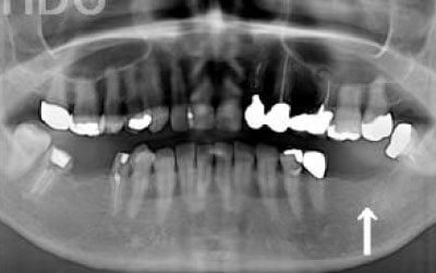
しばらくすると抜けた部分にも慣れてきますが、それでも重大な問題が生じる可能性があります。
1 周囲の歯が早く抜ける
抜けた歯にかかるはずだった噛む力が、無意識のうちに他の歯に負担をかけてしまいます。その結果、残った歯が突然折れてしまい、抜歯が必要になることがよくあります。
2 歯が傾いてくる、落ちてくる
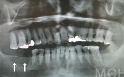
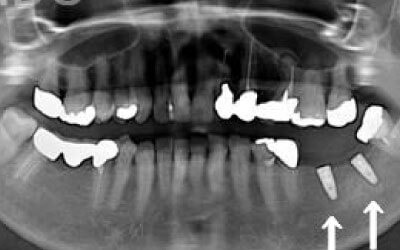
歯はお互いに支え合ってバランスを保っています。つまり、歯が抜けるとその支えがなくなり、抜けた部分の隣の歯が傾いたり、上の歯が下にずれてくることがあります。

Dr.西村
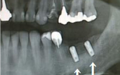
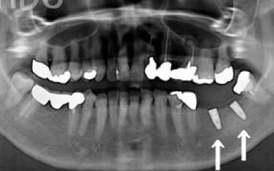
歯が抜けた後の治療について、多くの方が悩まれています。
特に、抜けたのが前歯ですとなおさら気になりますよね。
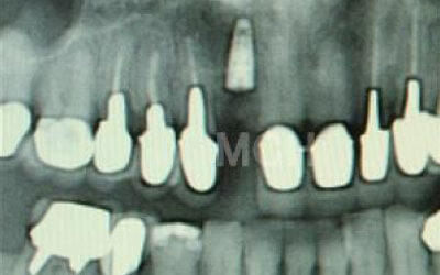
今回のご質問ですが、抜けた部分の骨が薄いなどの理由で「インプラントはできない」と言われた可能性があります。
前歯はもともと骨が薄く、歯が抜けると時間の経過とともにさらに骨が痩せてきてしまうので、インプラント治療の難易度が高い場所です。
ただ結論からお話すると、インプラント治療は可能です。
なぜなら、もし仮に骨が薄くても、骨の治療によって厚みが増せば、安全にインプラント治療が行えるからです。
なお、前歯のインプラント治療をご希望の方には、注意していただきたい点が4つほどあります。
1)インプラント治療を行う前に、骨の治療が必要かもしれません。
2)骨の治療から始めると、その分、治療期間が長くなります。
3)骨の治療は、通常のインプラント治療よりも難易度が高いため、経験の豊富な先生やインプラント認定医のいる歯科医院で治療を受けることをお勧めします。
4)骨の状況をしっかり把握するためにも、CT撮影が必須となります。
また、インプラント治療においては、周囲の歯の状況や咬み合わせの問題などもしっかりと考えて治療するのがとても大切です。
そのため、残っている歯についてもきちんと診査してくれるクリニックが良いでしょう
インプラント治療には、「インプラントを入れたら終了」というイメージがありますが、治療後、どれだけ長くインプラントがもつのかが最も大切なことなので、しっかりとメンテナンスしてもらえる歯科医院を選んでください。
まずは、いくつかの歯科医院でインプラントの相談をして比較検討し、ご自身が良いと感じた先生のところで治療を受けることをお勧めいたします。
長くもつ
インプラントを
したい
残っている歯も
守りたい
認定医による
安心の治療の
提供
インプラント
だけの治療は
したくない
より良い関係性で
長くお口の健康を
守りたい
インプラント治療を成功させるためには、信頼できる歯科医院を選び、ご自身に合った治療プランを見極めることが何より重要です。
「お口は一生もの」だからこそ、焦らずにじっくりと判断していただきたいと思います。
私たちは分かりやすいご説明としっかりしたサポート体制で、安心して治療に臨んでいただけるよう努めています。
まずは不安や疑問など、お気軽にご相談ください。
ご相談いただくだけで
得られるメリット
MERIT 01
MERIT 02
MERIT 03
MERIT 04
MERIT 05
お急ぎの場合は、お気軽に
お電話ください!